Search by procedure. blog or case

What Is Dental Bonding?

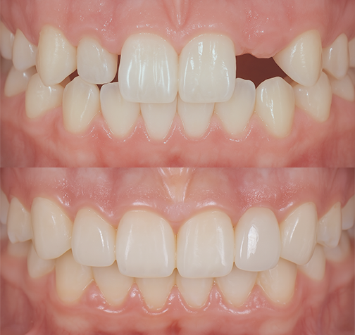
Dental bonding is a popular cosmetic procedure that uses a tooth-colored resin to repair and enhance the appearance of teeth. It is an effective solution for addressing small chips or cracks, closing minor gaps, covering stains that do not respond to whitening treatments, and improving the shape or length of uneven teeth. During the procedure, the resin is carefully applied to the tooth, shaped to match your surrounding teeth, and then hardened using a special curing light. Once polished, the bonded area blends seamlessly with your natural smile, offering an instant improvement with minimal tooth preparation. Bonding is a quick, comfortable, and affordable way to improve your smile without the need for more extensive dental work.

Patient Testimonial

“Excellent Dentist & Staff.”

Read More Testimonials

Who Is a Candidate for Dental Bonding?

Bonding is ideal for patients with:
• Small cosmetic flaws, including chips or uneven edges
• Minor tooth gaps
• Tooth discoloration
• Healthy teeth and gums 

Dental bonding is an ideal choice if you are looking for an improved smile without needing more invasive treatments such as veneers or crowns. During your consultation, Dr. Lopez or Dr. Sosa will examine your teeth and help you decide if dental bonding is right for you.

The Dental Bonding Process

  • Tooth Prep
    The surface of your tooth is lightly roughened, and a conditioning liquid is applied to help the bonding material stick.
  • Bonding Application
    A tooth-colored resin is applied, shaped, and smoothed to your desired look.
  • Curing and Polishing
    A special light hardens the resin, and we finish by polishing it to match your natural teeth.

Results and Recovery Care

With proper care, dental bonding can last several years. We recommend brushing and flossing daily, avoiding biting on hard objects, and staying on track with regular dental visits. Bonding is stain-resistant but not stain-proof. We recommend limiting coffee, tea, and red wine to help preserve your results. If the bonding ever chips or wears down, it can be touched up or replaced with ease.

Dental Bonding FAQs

What is dental bonding and how does it work?

Dental bonding is a simple, conservative way to improve your smile. I use a tooth-colored resin to reshape or repair a tooth, then harden it with a special light so it bonds securely in place. In most cases, there is no drilling and no need for anesthesia, which makes it a great option if you are feeling nervous.

Who is a good candidate for dental bonding?

Bonding works well if you have a small chip or crack, minor gaps between teeth, slight discoloration, uneven or worn edges, or other small cosmetic imperfections. It is ideal for patients who want subtle improvements without pursuing more involved treatment.

What cosmetic issues can dental bonding address?

Dental bonding can correct chipped teeth, small cracks, gaps, minor misalignment, discoloration, and teeth that appear slightly too short or uneven. It is a quick and effective way to make a noticeable difference in your smile.

How long does the dental bonding procedure take?

Most bonding appointments take about 30 to 60 minutes per tooth. In most cases, everything isrncompleted in just one visit.

Is dental bonding a painful procedure?

Most patients are pleasantly surprised by how comfortable dental bonding is. If you are feeling anxious, we will explain each step as we go and check in with you throughout so you feel relaxed and fully in control.

How long does dental bonding last?

With good care, bonding (also known as fillings) usually lasts 5 to 15 years.

How should I care for my bonded teeth?

You care for bonded teeth the same way you care for your natural teeth by brushing twice a day, flossing daily, avoiding chewing ice or very hard objects, and keeping up with regular dental cleanings. Simple, consistent habits make a significant difference in how long your bonding lasts.

Can dental bonding be stained or discolored over time?

Yes, bonding material can stain over time, especially from coffee, tea, red wine, or smoking. It is not as stain resistant as porcelain, but they can last many years with proper care.

How does dental bonding compare to veneers or crowns?

Bonding is the most conservative and affordable cosmetic option. Veneers last longer and resist stains better, while crowns are used when a tooth needs more strength and protection. We will always recommend what makes the most sense for your smile and your comfort.

How do I schedule a consultation for dental bonding at SoLo Dental?

Scheduling is easy. You can call or request an appointment through the website at SoLo Dental. If you have dental anxiety, please let us know. We take that seriously and will do everything we can to make your visit feel calm and stress free.

Schedule a Consultation

If you are interested in dental bonding at SoLo Dental in Bloomington, IL, we make it simple, comfortable, and personal. Dr. Diana Lopez and Dr. Cristian Sosa are here to listen to your goals and help you find the right treatment for your needs. Contact us today by completing our online contact form to schedule a consultation.

Dedicated to Your Comfort

At SoLo Dental, our patients are always welcomed with a smile and a genuine commitment to comfort, trust, and expertise. Our team takes pride in creating a friendly, approachable atmosphere where personalized care always comes first. To learn more about our mission, services, and community focus, you can explore our blogs or read more about us below.

Our Mission

At Solo Dental, our mission is to deliver exceptional, modern care by combining advanced technology with personalized treatment. We enhance health and confidence through expert general, cosmetic, and implant dentistry.

Learn More About Us

Contact Us Today!

Ready to take the next step toward your ideal smile? Contact the SoLo Dental team to schedule your personal consultation. We’ll listen to your goals and develop a custom treatment plan to help you achieve them.